外科正牙美容术简称外科正牙术,用外科及正畸科手段联合治疗牙颌面畸形,达到单颗治疗所不能达到的良好功能。适应症如下:适用于18岁以上成年人牙列不齐或牙槽畸形矫正
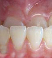
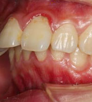
骨性龅牙是颌面骨骼发育异常,从而造成的上颌或双颌前突畸形,除在2~12岁时可做一些刺激颌骨发育的预防措施外,成年后则通过正牙美容术来改变。
| 正牙方法 | 正牙适用人群 | 正牙优势 | 恢复时间 |
|---|---|---|---|
| 正牙美容术 | 龅牙 | 快速 解决问题 |
快速矫正 |
| 地包天 | 准确 术前设计 |
形象 改观大 |
|
| 牙槽骨前凸 | 手术 效果直观 |
不影响 正常生活 |
头颅CT、全景X光机、取模,评估颌骨情况。
深圳博爱曙光医院3D模拟设计准确到0.1毫米手术方案。
深圳博爱曙光医院资深麻醉师亲自麻醉。
采用纳米微创内固定技术,加快恢复。
留院观察3天,正畸医生精微引导咬合。
实现面部和谐美观,恢复正常生活。
深圳博爱曙光医院医院强大的医生团队,具备疑难病例的全科会诊能力,能为您量身设定好的治疗方式。
作为综合医院,高级层流手术室、资深麻醉师是必备条件,能充分保障您的手术及完备的全程手术体验。
综合医院独有的6分钟急救体系,是应对一切突发情况的坚实保障。









